A capsulite adesiva ou ombro congelado, como também é conhecida, é uma condição em que a cápsula articular que envolve o ombro, fica inflamada, e fica mais espessa, levando a dor e limitação de movimentos.
É uma doença comum, que acomete mais as mulheres. A causa não é bem esclarecida, mas sabemos que existe uma maior ocorrência em pacientes:
– com Diabetes
– com Hipotireoidismo
– em uso de anticonvulsivantes
– que sofreram algum trauma
– com outras doenças do ombro
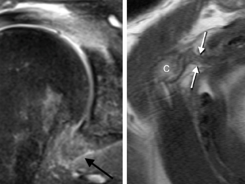
Imagem mostrando a capsula inflamada
O paciente apresenta dor para movimentação com ou sem limitação de movimento. Essa dor inicialmente pode ser confundida com outras patologias do ombro, e o diagnóstico pode ser mais difícil o início. Porém, o diagnóstico correto e o tratamento precoce, pode melhorar muito o resultado do tratamento. Devemos suspeitar quando o paciente apresenta dor desproporcional, e quando existe associação com os fatores de risco.
Como é a evolução da capsulite adesiva?
A capsulite adesiva, ou ombro congelado, apresenta 3 fases, que podem durar de 8 a 12 meses:
– FASE DOLOROSA: Dor sem restrição de movimento
– FASE DE CONGELAMENTO: Restrição de movimentos com ou sem dor
– FASE DE DESCONGELAMENTO: Recuperação dos movimentos
É importante ressaltar que a capsulite adesiva apresenta melhora espontânea. Porém essa melhora pode demorar cerca de 3 anos. O objetivo do tratamento é diminuir os sintomas, e acelerar o processo de recuperação.
Como é feito o tratamento da capsulite adesiva?
O tratamento da capsulite adesiva tem como objetivo amenizar as dores, diminuir a limitação, e diminuir o tempo de evolução da doença. Pode levar meses ou anos, principalmente em casos tratados tardiamente. O resultado do tratamento depende do/a:
– estágio da doença no diagnóstico e no início do tratamento
– gravidade do caso no início do tratamento
– controle de doenças de base (ex: controle da glicemia no Diabetes)
– tolerância do paciente aos métodos de tratamento.
O tratamento pode ser realizado com uma ou uma associação de estratégias, dependendo do que o paciente tolera.
– medicamentos para dor, são utilizados para controlar os sintomas
– antidepressivos ou gabapentinóides, ou de outras classes de medicamentos que atuam no sistema nervoso. Esses medicamentos podem atuar diminuindo.
Uma estratégia relevante e que trás bons resultados é o uso de infiltrações e bloqueios
Modalidades interessantes para controle da dor e aceleração do processo de melhora são os bloqueios e infiltrações. O mais comum é o bloqueio do nervo supraescapular, com anestésicos e corticóides. Também podem ser realizadas infiltrações na articulação do ombro ou em outros pontos doloroses. Paciente necessitam receber bloqueios seriados, que são realizados em um intervalo de cerca de 1 mês entre eles. Essa possibilidade é muito interessante e traz resultados satisfatórios.

A fisioterapia visa melhora da dor, manutenção da amplitude de movimento e aceleração da recuperação. As modalidades a serem empregadas e os tipos de exercícios, variam de acordo com a fase da doença.
A cirurgia é necessária para o tratamento da capsulite adesiva?
Como a doença apresenta uma resolução espontânea, o tratamento cirúrgico só é empregado quando os sintomas, principalmente de limitação dos movimentos é muito importante, e traz limitações severas para as atividades dos pacientes. É raro que seja necessário realizar o tratamento cirúrgico, mas pode ser realizado por uma artroscopia.